首页 >特别关注 >人物故事
长沙市妇幼保健院成功紧急救治血红蛋白仅为21g/L的罕见病患儿
发布时间:2023/03/29
近日,长沙市妇幼保健院儿科急诊科接诊了一位4岁小女孩,她五官精致,却面如白纸,呼吸浅促,虚弱得没有力气说话。长沙市妇幼保健院儿科主任龚晓辉仔细查看患儿,发现她睑结膜、口唇、甲床均极度苍白,是典型的贫血貌。追问病史,家长说小朋友之前身体一直挺好的,就是最近这五天来,突然出现咳嗽、乏力,也不爱吃东西,脸色看着就不好了,就诊前两天更是粒米未进。

图片
患儿脸色极度苍白  图源:长沙市妇幼保健院订阅号
情况十万火急,龚晓辉立即指挥抢救:紧急完善血常规、血型检查,交叉合血,准备为患儿输血,同时呼叫床旁彩超。超声结果很快出来:腹部、心脏均未见异常。没一会,医护人员就接到检验科危急值通知:血红蛋白仅21g/L!听到这个结果,在场所有人都紧张起来,这可是一个危及生命的数值。
考虑过孩子存在严重贫血,但只有21g/L的血红蛋白还是让医生惊出一身汗,极重度贫血!情况太危急!龚主任再次分析病情:既往没有贫血情况,结合患儿年龄及平日饮食情况不支持营养性贫血;没有黄疸,酱油色尿,不支持溶血;没有肝脾淋巴结肿大等慢性贫血表现,没有皮肤粘膜出血,血小板不低,白血病等骨髓造血障碍也不支持,那就只有可能是失血了,而且存在急性失血!失血的部位到底在哪里呢?龚主任脑中划过一道亮光:听诊肺部是有湿啰音的,难道是肺泡出血?之前仅仅把它当作肺炎的表现了,必须马上完善肺部CT检查!影像结果弹出的一刹那,猜想得到了验证:真的是弥漫性肺泡出血。
原来,血液是从肺部丢失了,考虑到“特发性肺含铁血黄素沉着症”可能性大,医护人员紧急联系病理科进行痰涂片检查,发现含铁血黄素细胞,支持了这一判断。
在完善检查排除结核感染、血管炎、狼疮等各种感染及继发因素后,医护人员为患儿输血纠正贫血,使用糖皮质激素抑制免疫治疗。病情好转后,许继志主任给小朋友做了一次肺泡灌洗,灌洗液行普鲁士蓝染色,发现满屏的含铁血黄素细胞,特发性肺含铁血黄素沉着症确诊
图片

普鲁士蓝染色  图源长沙市妇幼保健院订阅号

对症治疗后,短短1周过去,复查血红蛋白,已经恢复到87g/L,小朋友又恢复了往日红润的面庞。
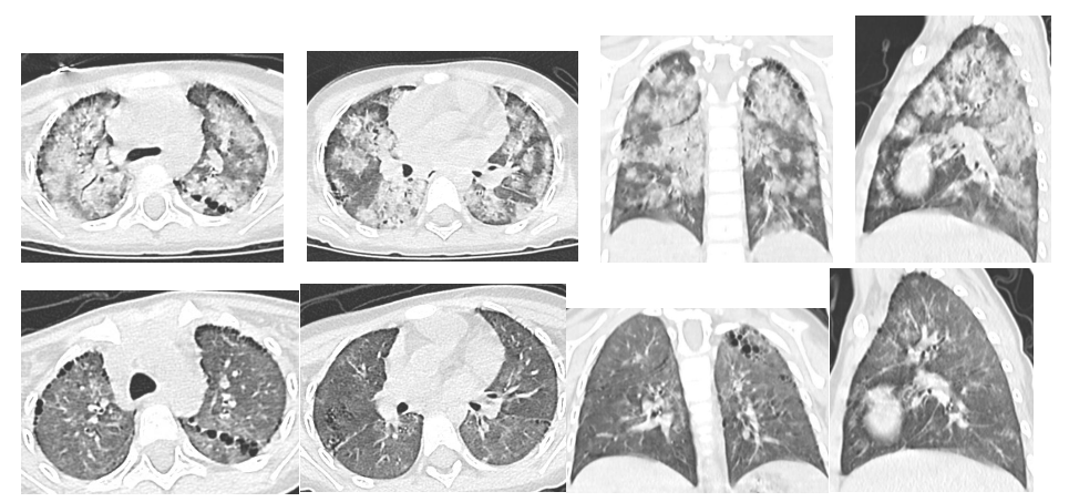
图片
复查前后CT对比  图源长沙市妇幼保健院订阅号
图片

关于特发性肺含铁血黄素沉积症

图片
特发性肺含铁血黄素沉着症(IPH)是一种罕见的肺部疾病,并发弥漫性肺泡出血综合征,主要见于儿童群体,预计发病率为0.24-1.23/每百万儿童。通常在10岁之前发病,病因尚不明确,可能与之相关的因素有:遗传、环境暴露(尤其二手烟及黑葡萄穗霉菌)、过敏、感染、药物等。该病的典型临床特征为三联征:咯血、贫血、肺部浸润。该病易反复,部分患儿预后不良,需在医生指导下长期规范管理。

文章来源于长沙市妇幼保健院订阅号